В эфире Катерина Кирбирева и Константин ПридыбайлоБлокада Ормузского пролива, Эрдоган пригрозил Израилю войной, правила подсчета стажа, база антипривививочников, кальян куличе.В 7:05 подключайтесь на 91.2FM в Москве и 91.5FM в Петербурге.Смотрите в ВК...
Новости за 14.04.2026
Привычные продукты могут удивить, когда к ним подойти с творческим подходом и знанием кулинарных секретов. Обычная скумбрия за считанные дни превращается в изысканный балык, достойный любого праздничного стола. Этот деликатес по вкусу не...
В январе—марте 2026 года в Москве всего было заключено 109 сделок.Элитные проекты на начальных и завершающих этапах строительства стали сопоставимы по стоимости, поэтому запуски новых объектов больше не приводят к всплеску продаж в сегменте.В то...
Борщ — это не просто суп, а настоящая кулинарная традиция, отражающая уют и семейные ценности. Однако многие домохозяйки сталкиваются с проблемами длительной подготовки ингредиентов. В этом случае заготовка для борща станет настоящим спасением и...
Китайское издание Sohu отметило, что Владимир Путин во время телефонного разговора с президентом Ирана продемонстрировал миру силу Москвы в ситуации на Ближнем Востоке.Путин показал, что Россия не намерена бездействовать в условиях усиления давления...
Он около года скрывался в Подмосковье. Ранее его заочно арестовали, сообщает ТАСС со ссылкой на правоохранителей.Предложить новость для «Москвы 24»: @moscow24_bot Подписаться на Москва...
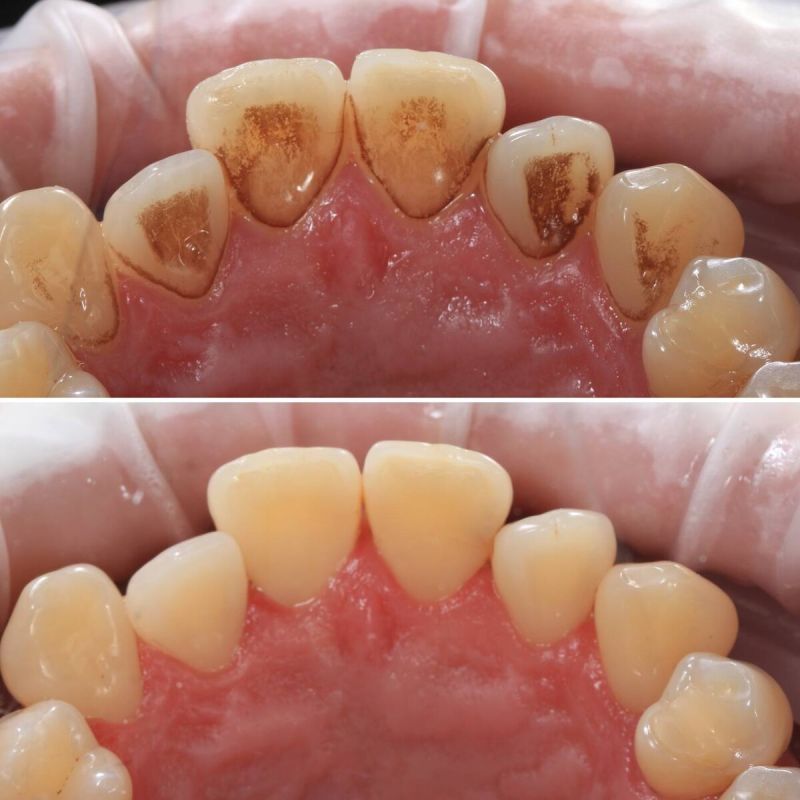
Желтый и темный налет на зубах — это не только эстетическая проблема, но и сигнал о недостаточной гигиене полости рта. Такие загрязнения появляются благодаря воздействию продуктов, таких как кофе и чай, а также из-за курения. Со временем эмаль зубов...
Министр иностранных дел России прибыл в Китай с официальным визитом. В ходе поездки запланированы переговоры Сергея Лаврова с министром иностранных дел КНР Ван И. Стороны обсудят широкий круг вопросов, связанных с двусторонним сотрудничеством.Особое...
М-1 «Беларусь»– Днем и вечером местами дождь.М-3 «Украина»– Утром местами дождь в Московской и Калужской областях.– Днем и вечером местами дождь.М-4 «Дон»– Утром местами дождь от Москвы до Воронежа и в Краснодарском крае.– Днем и вечером местами...
С наступлением весны организм требует свежих витаминов и зелени, а ожидание дачного сезона может показаться бесконечным. Зимой многие полагались на замороженные продукты и не всегда качественные фрукты. Теперь есть отличный способ добавить натуральные...
Он проведёт переговоры с коллегой из КНР, а также обсудит ключевые вопросы мировой повестки.Предложить новость для «Москвы 24»: @moscow24_bot Подписаться на Москва 24
А еще он планирует скоро приехать с официальным визитом в МосквуМы будем категорически противостоять вмешательству в чужие военные и дипломатические конфликты, потому что Словении от этого никогда не бывает пользы. В то же время я должен...
Недавние фотографии Аллы Пугачёвой, выложенные Максимом Галкиным, стали настоящей сенсацией в социальных сетях. "Это точно она?" — задают вопросы пользователи, удивлённые изменениями в её внешности. Комментарии пестрят предположениями: "Видеть...
Кофе стал неотъемлемой частью утреннего ритуала для миллионов людей по всему миру. Он придаёт свежесть и позволяет настроиться на рабочий лад, но как именно этот ароматный напиток влияет на мозг? Давайте разберемся с тем, что...
Двадцатилетняя Татьяна опубликовала провокационное фото в своём Telegram-канале, но вскоре удалила. Осознав, что многие пользователи возмущены её выходкой, она начала извиняться за свой пост. "Я сама крещёная и не вкладывала ни капли...
13 ноября 1805 года в Вене мир увидел новое гастрономическое явление – франкфуртские сосиски. Идея принадлежит Иоганну Георгу Ланеру, владельцу мясной лавки, который решил смешать говяжий и свиной фарши. Этот оригинальный подход стал основой для...
Рыба по-польски с морковью и луком — это не просто блюдо, а настоящая кулинарная находка, обладающая мягкой текстурой и ароматным вкусом. Соединяя отварное филе, овощную подушку и сливочно-яичный соус, это лакомство становится идеальным выбором, как...
Главное на 03:00:США готовы сворачивать операцию против ИранаВСУ атаковали энергообъект в Запорожской областиВ Москве задержали девушку за видео с кальяном на куличеНетаньяху заявил о...
Смешение традиционного сала на черном хлебе уже давно завоевало сердца любителей вкусной и полезной пищи. Этот простой, но незаменимый бутерброд не только утоляет голод, но и служит настоящим спасением в холодную погоду.
Польза ржаного...
По итогам 2025 года Белоруссия, не имеющая выхода к морю, заняла первую строчку среди стран-импортёров рыбы в Россию, экспортировав впечатляющие 112 тысяч тонн продукции на сумму 336 миллионов долларов, по информации Рыбного союза.
Что...
Лента новостей
- Филиппины могут купить новую партию нефти из РФ летом, заявил "Известиям" посол республики в Москве Игорь Байлен. Подпишись на ТАСС / Мир в "Максе"// ТАСС / Мир







































